July 20, 2020
Recent CT scan led by our very own Dr. Zahi Hawass has revealed the truth about “The Mummy of the Screaming Woman’” from the Royal Cache of Deir el-Bahari.
Dr. Zahi Hawass, the renowned Egyptian Egyptologist and the former Minister of Antiquities, together with Dr. Sahar Saleem, Professor of Radiology at Cairo University and specialized in scanning mummies, were able to solve the mystery of the “The Mummy of the Screaming Woman” in their recently published scientific study.
The mummy was part of a major discovery in 1881 where the Royal Cache at Deir el-Bahari was found containing the mummies of most of Dynasty 18 and 19 kings. The cache was made by the Dynasty 21 priests in an effort to protect the mummies of the dead kings after their tombs were subject to severe robbery.
Hieratic text on the mummy’s linen wrappings read: “The royal daughter, the royal sister Merit-amun”. However, Merit-amun was a common name and could have been the daughter of King Seqenenre of the end of Dynasty 17 or the daughter of King Ramesses II from Dynasty 19.
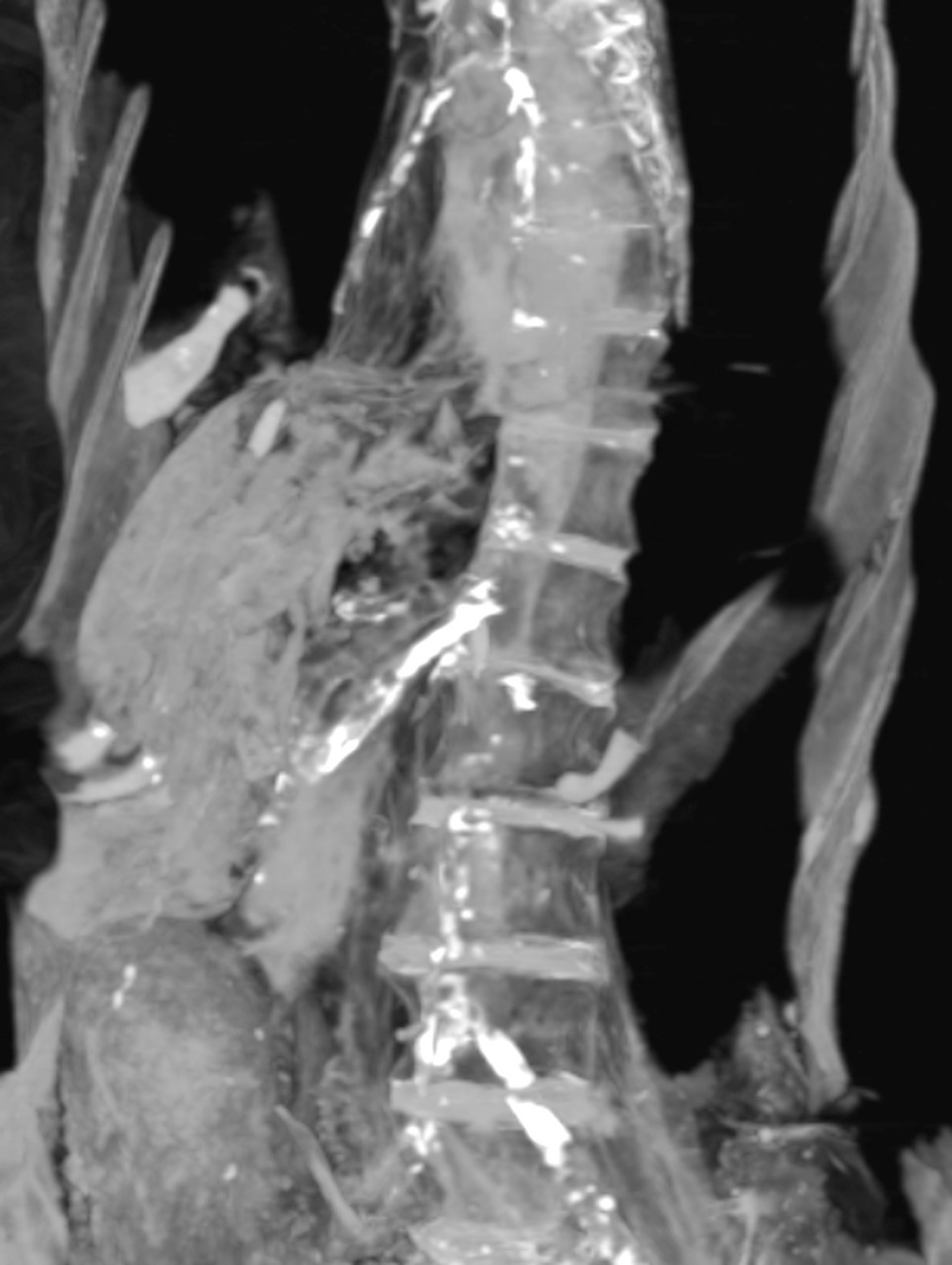
The results showed that the woman died in her 50s and that she received good mummification treatment. The results also showed that she suffered from atherosclerosis of the right and left coronary arteries, neck arteries, abdominal aorta and iliac arteries, as well as the arteries of the lower extremities.
The team believes that the woman had a massive heart infarction resulting in her sudden death. Consequent to death, her head was tilted to the right side and her jaw dropped. The dead body must have been discovered hours later, enough to develop death spasm. Stiffening of muscles and joints following death is termed death spasm (rigor mortis) which starts a few minutes to several hours after death.
The ancient embalmers opted to mummify the contracted body before it decomposed or relaxed. The embalmers were thus unable to close her mouth or move her body in a typical royal mummified form which preserved her facial expression and posture at the time of death for thousands of years. The scientific study of the mummy along with the valuable information of the CT scan shows that the body was mummified in a style that would fit with Dynasty 17. Therefore the mummy could be the daughter of King Seqenenre rather than the daughter of King Ramesses II.
The Egyptian Mummy Project will commence their CT studies and DNA tests on the mummy and other royal mummies in order to reveal more information about their lives, death, and mummification techniques.
If you wish to receive more information on our new tours, events and news of our portal, please enter your e-mail address:
